染色质结构的调节在真核生物的转录调控中起着重要作用。核小体将DNA包裹并压缩成染色质,限制了DNA接近细胞内其它细胞器。组蛋白是负责真核生物染色体纤维核小体结构的基本核蛋白,其在转录调节、DNA修复、DNA复制和染色体稳定中发挥核心作用。组蛋白H3(Histone H3)是核小体的核心成分,是组蛋白中修饰广泛的。小编本期推荐的明星抗体K106623P,可是侦察Histone H3蛋白的得力干将,让我们一起来认识下吧!
明星抗体
三维数据卡
|
名称 |
Anti-Histone H3 Polyclonal Antibody |
|
编号 |
K106623P |
|
交叉 反应 |
Human Mouse |
|
应用 |
WB IHC |
|
推荐稀释 比例 |
WB 1:500-2000 IHC 1:25-100 |
Part 01
抗体靶标
Histone H3是真核生物中负责染色体纤维核小体结构的5个主要组蛋白(H1、H3、H2A、H2B和H4)之一。核小体由DNA缠绕在8个核心组蛋白(H2A、H2B、H3和H4各2个)周围构成,是染色质的主要组成部分。核心组蛋白经过乙酰化,磷酸化,甲基化,瓜氨酸化,泛素化,巴豆酰化和异丁基化等翻译后修饰会对染色质与转录因子的可及性产生直接影响,通常以组合识别的形式共同调控基因的表达。组蛋白H3主要在Lys9、Lys14以及Lys18等位点发生乙酰化,Histone H3 Lys9位点的乙酰化在组蛋白沉积和染色质组装中起主导作用。在有丝分裂和减数分裂期间,组蛋白H3的Ser10、Ser28和Thr11位点的磷酸化与染色体浓缩密切相关。
Part 02
蛋白分子量
Histone H3蛋白质的标准序列136个氨基酸,理论分子量约15kDa,实际蛋白分子量约17kDa(参考Western blot验证结果)。

图 1 K106623P-Western blot验证
Part 03
亚细胞定位
Histone H3定位于细胞核,是核小体的核心成分。

图 2Histone H3的亚细胞定位示意图
Part 04
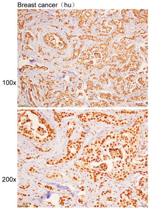
组织分布
Histone H3分布较为广泛,在多数组织中均有表达。

图 3 K106623P-
Immunohistochemistry验证
Part 05
生物学功能
组蛋白的表观遗传学修饰在多种肿瘤中具有调控作用,可作为标志物进行患者预后。组蛋白H3K9A、H3K9TriMe、H4K16Ac的表达与非小细胞肺癌患者的复发密切相关。组蛋白乳酸化在缺血缺氧型脑病新生儿的炎症过程中具有转录后修饰的调控作用,乳酸化的组蛋白H3K18水平可能是诊断和预测脓毒血症严重程度的生物标志物。组蛋白修饰在心血管发育和疾病,如先天性心脏病、肺动脉高压、心力衰竭、心肌肥厚、高血压和动脉粥样硬化等的发生过程中也发挥了重要作用。
Anti-Histone H3 Polyclonal Antibody
Part 06
已发表文献
1.
期刊:Frontiers in Microbiology
点击查看详情

影响因子:5.2
通讯作者单位:西北民族大学生物医学研究中心
DOI: 10.3389/fmicb.2022.932842
实验结果图:


2.
期刊:Frontiers in Microbiology
点击查看详情

影响因子:5.2
通讯作者单位:西北民族大学生物医学研究中心
DOI: 10.3389/fmicb.2021.761282
实验结果图:

3.
期刊:Viruses-Basel
点击查看详情

影响因子:4.7
通讯作者单位:西北民族大学生物医学研究中心
DOI: 10.3390/v14050954
实验结果图:

第十九期产品星推荐就到这里啦
Part 07
相关产品
|
产品货号 |
产品名称 |
|
K107283P |
Anti-Histone H3 Polyclonal Antibody |
|
K111660P |
Anti-Histone H3 Polyclonal Antibody |
|
K200033M |
Anti-Histone H3/HIST3H3 Monoclonal Antibody |
|
K200065M |
Anti-Histone H3 Monoclonal Antibody |
|
K800007P |
Anti-Histone H3.1 Polyclonal Antibody |
|
P05800 |
Recombinant Human HIST1H3A Protein |
|
CLP0247 |
Histone H3(21-44) |
|
SE134 |
羊抗兔IgG-HRP |
|
C0060 |
DAPI溶液(1mg/ml) |
|
DA1016 |
增强型DAB显色试剂盒(20×) |
|
PE0010 |
ECL Plus超敏发光液 |
|
P1200 |
SDS-PAGE凝胶 制备试剂盒 |
|
SP0041 |
通用SP检测试剂盒 |
